“你知道,时间搞乱了——它先是放慢,然后又突然加速。更明显的是,当你看着自己的身体时,它似乎在变形——你越来越小,几分钟后,又突然大了起来。”
以上是《爱丽丝梦游仙境》中对主人公感受的一段描写。
然而现实当中,也有人有同样的感受。
据说,这个童话故事的作者之所以能描绘出如此梦幻的世界,也是因为他真的经历过!
这就是医学上的“爱丽丝梦游仙境综合征”(Alice in Wonderland syndrome,AIWS)。

影片中变小的爱丽丝通过兔子洞进入奇幻世界
什么是爱丽丝梦游仙境综合征?
这其实是偏头痛的一种,是一种神经失调类病症,患者通常会觉得周围的一切都在变小,离自己远去,或逐渐变大,自己变得十分渺小;同时还会觉得自己的身体在下沉或上升,甚至觉得自己处于一种无重力的环境中……
一般出现这种幻觉的患者本身也许没有偏头痛,但家人很可能有偏头痛病史。另外,“爱丽丝梦游仙境综合征”并没有什么危险,而且一般随着年龄的增长,症状也会越来越轻。
所以,如果你的孩子跟你说周围的东西都变得好小,请不要慌张,也不要觉得孩子在骗你。也许,他只是刚好去“小人国”转了一圈而已。

爱丽丝梦游仙境综合征是什么引起的?
虽然刚开始“爱丽丝梦游仙境综合征”大多出现在偏头痛患者身上,但它的病因并不确定。
也有人说,“爱丽丝梦游仙境综合征”可能与病毒性脑炎、典型或头部外伤有关。
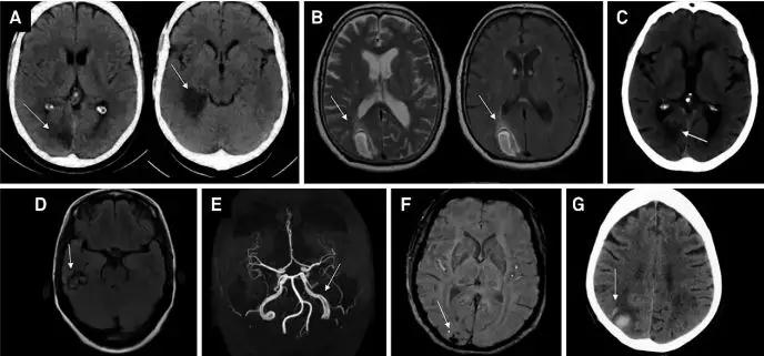
目前在医学文献中,关于“爱丽丝梦游仙境综合征”的病例报道不到200例,报道了患者脑部图像的更是少之又少,但依然可以看到如下的一些病例图片。

从这些图像可以发现,与“爱丽丝梦游仙境综合征”相关的血管病变主要发生在右侧枕叶区域,其中有一位患者的“爱丽丝梦游仙境综合征”来源于颞叶海绵体瘤。
经脑功能成像研究发现,“爱丽丝梦游仙境综合征”主要与初级视觉皮层、纹外皮层和顶叶皮层的异常活动有关。甚至额叶典型也可能与“爱丽丝梦游仙境综合征”有关。虽然大多数病变位于右脑,但并不一定都在右脑。
在童话故事《爱丽丝梦游仙境》里,爱丽丝更像是一个旁观者,她一直有种“不属于这个世界”的感觉,除了变大变小外,爱丽丝似乎还有某种饮食失调症,她在一个陌生世界竟然放心地吃喝奇怪的食物,这也让人不解。
或许,神秘的大脑就和童话中的仙境一样,还有许许多多的未知等待我们去探索。
END

本院医生亲诊
电话咨询
028-68760707